home
blog
about us
contact us
login
login
register
language
العربية
English
french
(01009706732)
libraries Traumatic Brain Injury
sort by
newest
oldest
title from A-Z
title from Z-A
sort by category
Brain tumers
search
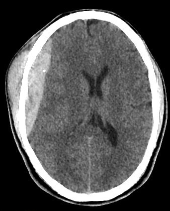
Brain tumers
Right Fronto-Parietal
History
30 years old male with trauma
...
View Details