Brain tumers case

Right Fronto-Parietal

history

History

  • 30 years old male with trauma

 

 

findings

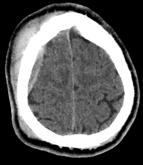
  • A well-defined extraxial elliptical shape fresh blood density seen in the right fronto-parietal region.
  • The lesion measured ……. cm in its maximal dimensions.
  • The lesion exert little mass effect in the form of effacement of the cortical sulci and and mild midline shift.
  • right fronto parietal subglial hematoma seen
  • associated right fronto parital fracture seen
  • no brain herniation.
  • Normal size and configuration of the ventricular system.
  • No intracerebral or intraventricular recent blood density.
  • Normal appearance of the brain stem and cerebellum.

diagnosis

acute extradural hematoma with fracture

 

explanation

CT Findings:

  • Biconvex (lentiform) hyperdense collection adjacent to the inner table of the skull.
  • Does not cross sutures (limited by dural attachments).
  • May cross the midline if located over the falx cerebri.
  • Underlying skull fracture commonly visible, especially in the temporal region.
  • Mass effect: midline shift, compression of adjacent sulci or ventricles.
  • Lucent areas may represent active bleeding or mixed density if subacute/chronic.

 

MRI Findings (if done):

  • Helps in dating the hemorrhage and assessing associated parenchymal injury.
  • Signal intensity varies with blood age.
  • Lentiform extra-axial collection with dural attachment but no extension across sutures.

 

Key Differential Diagnoses:

  • Subdural hematoma: Crescentic shape, crosses sutures, follows the contour of the brain.
  • Hemorrhagic contusion: Intra-axial and irregular.
  • Epidural abscess: Similar location but rim-enhancing on post-contrast scan.

 

Complications:

  • Brain herniation (especially uncal).
  • Midline shift and raised intracranial pressure.
  • Delayed neurological deterioration (lucid interval).

 

Reporting Tips:
Include:

  • Location and side.
  • Maximum thickness and volume if possible.
  • Degree of mass effect or midline shift.
  • Associated fractures or pneumocephalus.
  • Any additional intracranial injuries.

related cases

no results found