home
blog
about us
contact us
login
login
register
language
العربية
English
french
(01009706732)
libraries bladder tumors
sort by
newest
oldest
title from A-Z
title from Z-A
sort by category
search
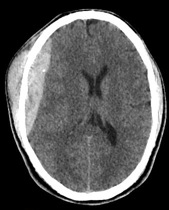
brain CT scan
brain CT scan History
View Details