bladder tumors

brain CT scan

history

brain CT scan History

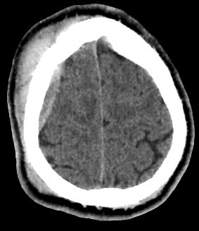
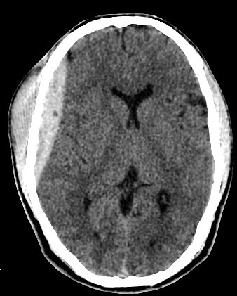
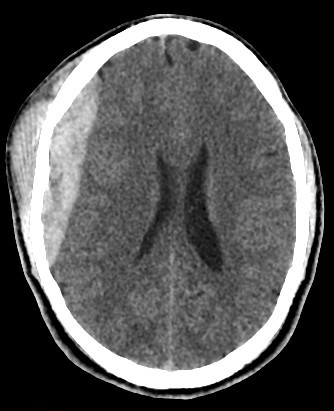
A brain CT scan, also known as a computed tomography scan or CAT scan, is a non-invasive imaging procedure that uses X-rays to create detailed cross-sectional images of the brain and surrounding structures. It's a common diagnostic tool for evaluating head injuries, strokes, brain tumors, and other neurological conditions. Here's a more detailed explanation: What it is: A brain CT scan uses a series of X-ray beams that rotate around the head, capturing multiple images from different angles. These images are then processed by a computer to create detailed cross-sectional views of the brain, allowing doctors to visualize the brain's structures and identify any abnormalities. The scan can be performed with or without contrast dye, which helps to highlight certain tissues and blood vessels for better visualization. Why it's used: Traumatic brain injuries: CT scans are often the first imaging test used to assess the extent of head injuries and identify potential fractures, bleeding, or swelling. Stroke: CT scans can quickly identify whether a stroke is caused by a blood clot (ischemic stroke) or bleeding (hemorrhagic stroke), guiding appropriate treatment. Brain tumors: CT scans can help detect and assess the size and location of brain tumors. Other neurological conditions: CT scans can also be used to diagnose conditions like hydrocephalus (excess fluid in the brain), aneurysms (bulges in blood vessels), and certain types of dementia. Guiding procedures: CT scans can be used to guide biopsies or other procedures involving the brain. What to expect during the procedure: You will lie on a table that slides into the CT scanner, which is a large, doughnut-shaped machine. The scan itself is painless, but some people may experience slight discomfort from lying still on the hard table. If contrast is used, you may feel a warm or flushing sensation, or a metallic taste in your mouth. The scan typically takes only a few minutes. Risks and Precautions: CT scans involve exposure to radiation, but the risk from a single scan is generally considered low. If you are pregnant, it's important to inform your doctor, as alternative imaging methods may be considered to avoid exposing the fetus to radiation. If you have any allergies, particularly to contrast dye, make sure to inform your doctor.

related cases

no results found